+1 812 961 2815
Winning performance starts with prevention and smart vaccination habits that protect health and results.
“Winning health starts with controlled habits and delivers superior performance.”
“Good habits build great health. Vaccinations drive winning performance.”
Built for performance. Advanced cocci, canker, and worm protection that keeps birds competitive.
“Strong performance is the result of informed management and consistent health habits.”
Performance is driven by knowledge and the disciplined habits that support lasting health.
The key to optimal performance is knowledge and understanding of the issues
“Awareness that pigeon health is shaped by the habits we control makes today’s fanciers the first generation to truly determine their loft’s destiny.”
“Strong avian health begins with informed care and steady, disciplined management.”
“Healthy birds come from confident management, not obsessive micromanagement.”
8 AM – 5 PM
8 AM – 5 PM
8 AM – 5 PM
8 AM – 5 PM
8 AM – 5 PM
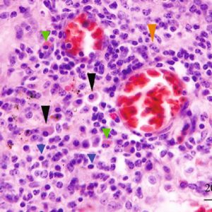
Our team strives to work in close contact with our clients in delivering results that can be seeing. Our experienced and professional team collaborates in offering the most effective laboratory diagnostic results for the health of the Pigeons. We encourage very strongly to never blind treat your birds as this will do more damage than good. We advise to have your birds tested.
All reports are signed off by our Head of Microbiology, MVB PhD DipECVM, who is EBVS® European Specialist in Veterinary Diagnostics .
In the absence of the Head of Microbiology, reports will be signed by the Deputy Head of Microbiology, PhD Candidate, MSc. Signees have individually over 25 years of expert experience in the field of poultry clinical & diagnostic microbiology, avian gut flora anlaysis and probiotic formulation, water and environmental microbiology, mycology, parasitology; internal and ectoparasites, feed analysis and nutrition.

The Irish Equine Centre provides an extensive range of commercial tests for the Pharmaceutical Industry. The Centre started providing Pharmaceutical testing nearly twenty years ago in response to a request from the Department of Agriculture for screening services for Clenbuterol to the bovine industry.
The Centre's Microbiology Unit has a proven track record in the provision of commercial laboratory services that meet evaluative criteria for scientific and technical competence, reporting deadlines, confidentiality and value for money.
The Pathology Unit of the Irish Equine Centre provides a round the clock service to horse owners and veterinary surgeons.
Surveillance: It provides post mortem, histopathological and other examinations required to determine immediate cause of death, to monitor patterns in disease incidence and to provide surveillance for the detection of exotic diseases. The detailed reports which it provides are often a key element of insurance or litigation claims.
The Microbiology Unit provides a vigilant eye for disease and disease trends. We seek to maintain a strong and positive working relationship with the veterinary profession for the good of all involved in racing and breeding.
Qualified staff, with a deep understanding of the needs of the horse industry, and utilising the latest in diagnostic technology, provide a seven day a week service to assist in the diagnosis, management and prevention of a wide variety of bacteriological, parasitic and mycological diseases.
The Virology Unit is the only dedicated equine virology laboratory in Ireland and fills a role similar to that of the Virus Reference Laboratory for human health. Regarded as an important national asset, the Unit is the only OIE (World Organisation for Animal Health) reference laboratory in the Republic of Ireland and one of four in the world for equine influenza.
Since its establishment in 1987, the Unit aims to protect the industry from financial loss due to endemic viral disease or the introduction of exotic viruses. The ability of the Unit to respond to a disease crisis rapidly and effectively was demonstrated after incursions of equine arteritis virus (EAV) and equine infectious anaemia (EIA) virus when high throughput testing ensured that the normal business of the horse industry including sales, breeding and racing continued.

+1 812 961 2815

service@xstore.com
" This New advanced natural live bacteria gut flora probiotic supplied by Racing pigeon laboratory is made up from the birds own good gut bacteria specific to your pigeons taken from your loft. "
"To prevent and control respiratory infections, maintain adequate ventilation, without drafts, in the loft. Keep dust and ammonia levels low, which means not allowing droppings to accumulate."
" Stress within the loft can also cause dormant Chlamydia to flare up, Stress causes the organism to spread through the body and cause damage to a variety of organs including the respiratory system, liver, bowel and ovaries. "
The key to optimal performance is knowledge and understanding of the issues.